小児矯正の症例実績
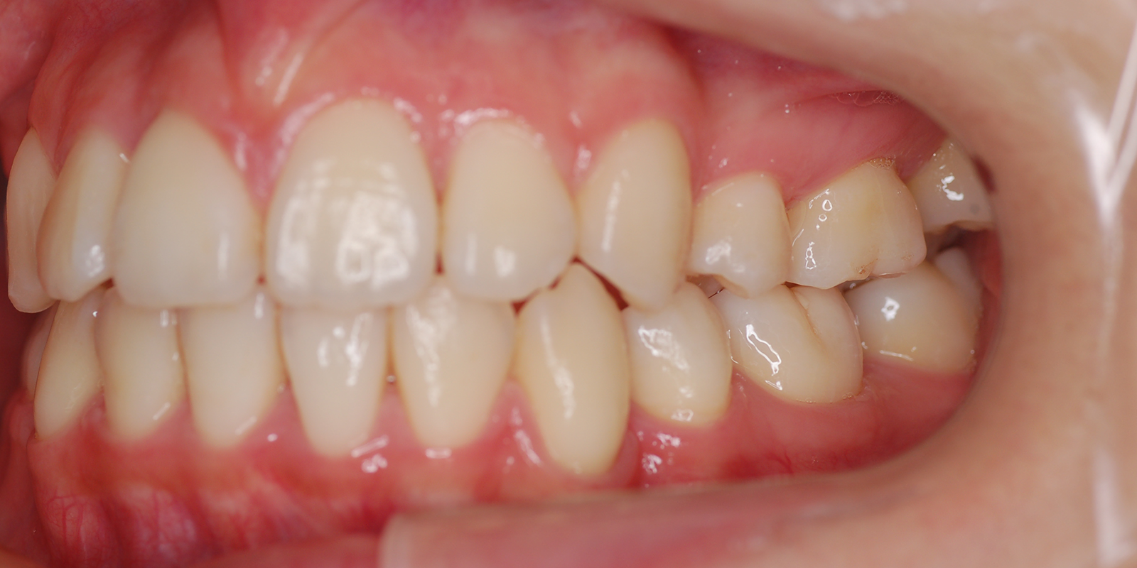
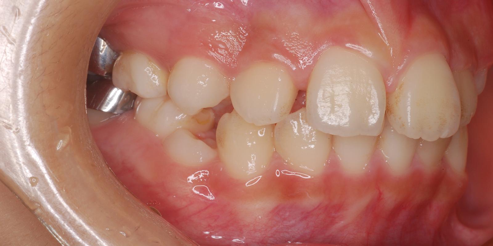
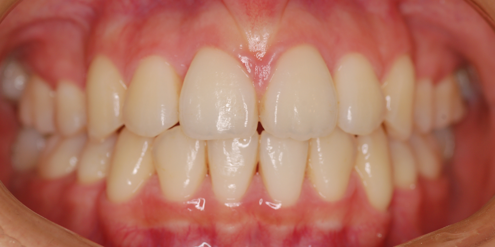
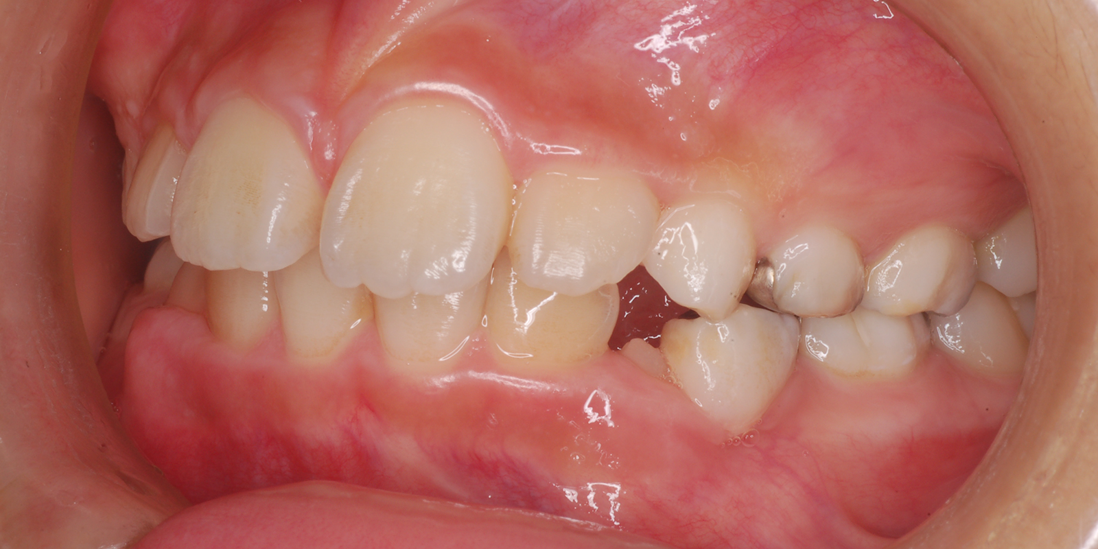
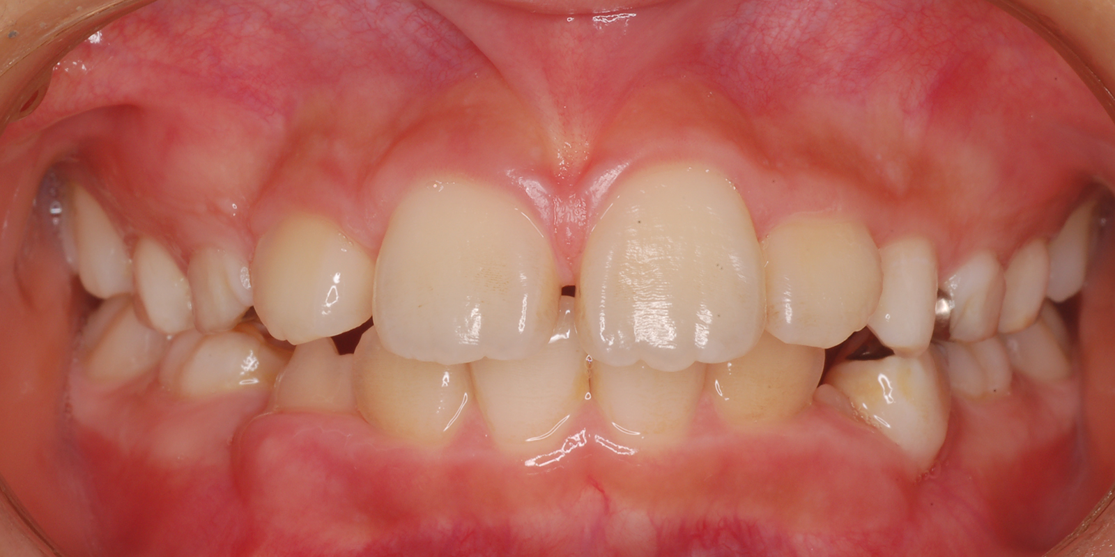
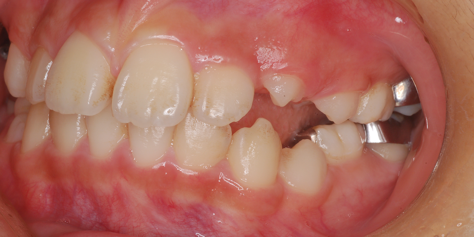
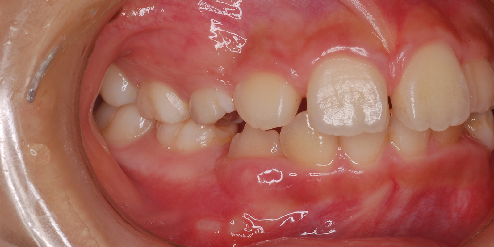
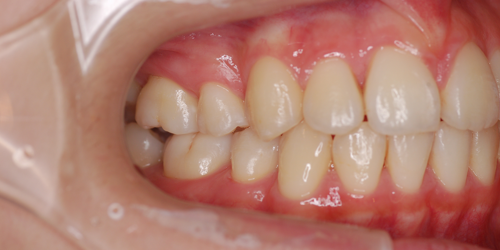
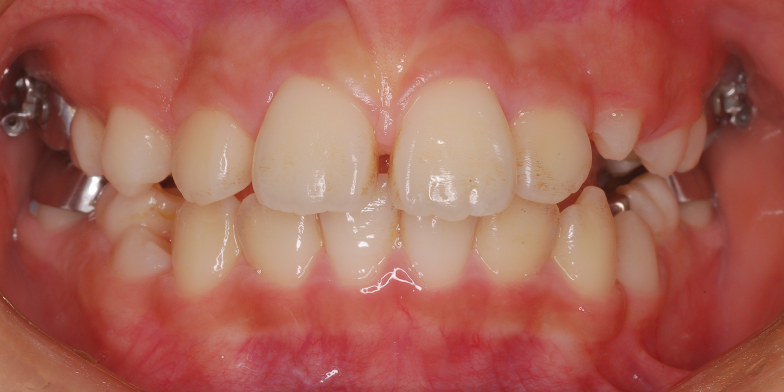
叢生・ガタガタの歯並びの治療
術前
術中
術後
術前・術後の比較
| 主訴 | 叢生 |
|---|---|
| 診断 | アングルⅡ級1類 |
| 初診時年齢 | 9歳10か月 |
| 装置 | ヘッドギアー(1期治療) 若干上顎が大きく、大臼歯関係が上顎大臼歯が前に出て上顎前突のため、上顎大臼歯を遠心に送るためヘッドギアーを使用しました。 |
| 抜歯・非抜歯 | 上下左右第1小臼歯を抜歯、マルチブラケット(2期治療) 大臼歯関係が正しい関係になりましたが、叢生、歯軸の関係が悪いので、永久歯の抜歯を行いました。 |
| 治療期間 | 1期治療:1年10ヶ月 2期治療:3年 |
| 通院回数 | 1期治療:13回 2期治療:約36回 |
| 治療費 | 約100万円 矯正歯科治療は公的医療保険の適用外の自費(自由)診療となります |
| 治療のリスク | ・装置を使用しなければ効果が出ない ・歯に痛みが出ることがある ・取り外しのため、なくすことがある ・ブラッシングが悪い場合虫歯や歯肉炎になります |
MIX上顎前突
術前
術後
| 主訴 | 噛み合わせが深い |
|---|---|
| 診断 | アングルⅡ級2類Deep bite |
| 初診時年齢 | 8歳3か月 |
| 装置 | EF |
| 抜歯・非抜歯 | 非抜歯 |
| 治療期間 | 2年 |
| 通院回数 | 約12回 |
| 治療費 | 25万円 矯正歯科治療は公的医療保険の適用外の自費(自由)診療となります |
| 治療のリスク | ・装置を使用しなければ効果が出ない ・上下前歯に痛みが出ることがある ・取り外しのためなくすことがある |
MIX反対咬合
術前
術後
| 主訴 | 受け口 |
|---|---|
| 診断 | アングルⅢ級反対咬合 |
| 初診時年齢 | 8歳1か月 |
| 装置 | 舌側弧線装置 |
| 抜歯・非抜歯 | 非抜歯 |
| 治療期間 | 2年7か月 |
| 通院回数 | 20回 |
| 治療費 | 25万円 矯正歯科治療は公的医療保険の適用外の自費(自由)診療となります |
| 治療のリスク | ・ばねが口から飛び出してくることがあります ・装着当初話しにくい場合があります |


